Gingivitis In Cats

Did you know that cats also suffer from gum disease? The most common type in cats is called gingivitis. Humans and dogs also get this gum disease, but it tends to be more severe in cats. The symptoms ...

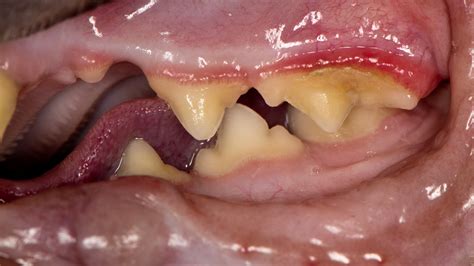
gingivitis in cats 1

MSN: Gingivitis in cats: The painful and progressive precursor to dental disease

Gingivitis in cats is one of the most common dental problems seen in general practice, yet it’s often misunderstood or missed by owners until the condition becomes severe. As a small animal vet with ...

Gingivitis is early stage gum disease. It happens when plaque and bacteria build up on your teeth. Common symptoms include red, swollen, bleeding gums.

gingivitis in cats 4

Gingivitis is a common and mild form of gum disease, also called periodontal disease. It causes irritation, redness, swelling and bleeding of your gingiva, which is the part of your gum around the base of your teeth.

gingivitis in cats 5

Gingivitis, also known as ulitis, [1] is a non-destructive disease that causes inflammation of the gums. [2] The most common form of gingivitis, and the most common form of periodontal disease, is in response to bacterial biofilms (also called plaque) that are attached to tooth surfaces, termed plaque-induced gingivitis. Most forms of gingivitis are plaque-induced. [3] Although gingivitis does ...

Gingivitis is an inflammation of the gums due to bacterial buildup. Learn about its symptoms and treatments here.

gingivitis in cats 7

Gingivitis is gum inflammation that usually starts when plaque builds up below your gum line, triggering infection. Without treatment, it can progress to periodontitis and tooth loss. Risk factors ...