How To Clean Calculus From Teeth

Daily Express: How to clean plaque off teeth - the three daily steps

Onlymyhealth: Deep Dental Cleaning Won't Really Whiten Your Teeth; But Here's What It Actually Does For Your Oral Health

how to clean calculus from teeth 2

Deep Dental Cleaning Won't Really Whiten Your Teeth; But Here's What It Actually Does For Your Oral Health

how to clean calculus from teeth 3

The Financial Express: Flash those whites: How to keep teeth clean and shining the right way

Interdental cleansing is a vital component of a comprehensive oral hygiene routine. Clean teeth takes more than regular brushing. There is also professional teeth cleaning, which many recommend every ...

Flash those whites: How to keep teeth clean and shining the right way

how to clean calculus from teeth 6

Teeth deep cleaning, or periodontal scaling and root planing, is a common procedure that treats gum disease by removing bacteria above and below the gumline. It may prevent future tooth loss. Share on ...

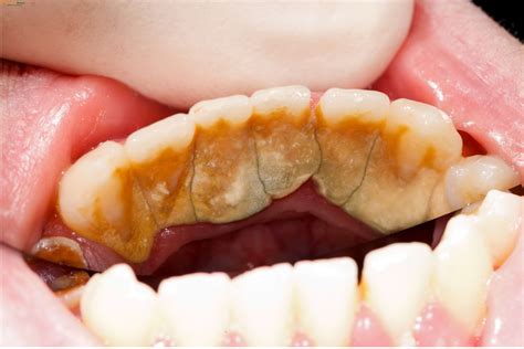
A professional dental clean can remove plaque and tartar from teeth. However, remedies such as brushing thoroughly and flossing daily may prevent tartar buildup and help with plaque removal at home.

MSN: Deep Dental Cleaning Won't Really Whiten Your Teeth; But Here's What It Actually Does For Your Oral Health

Many people dread teeth cleanings. Between the prodding, strange noises, and occasional jaw discomfort, it’s easy to understand their apprehension. But for most, a teeth cleaning is simple and ...

Have you ever felt awkward smiling because of your not-so-clean teeth? The presence of tartar on your teeth can mar the charm of your smile and, more importantly, compromise your dental well-being.

how to clean calculus from teeth 11