How To Get Rid Of White Spots On Teeth

standardmedia.co.ke: This is how you get rid of white spots on your teeth

This is how you get rid of white spots on your teeth

how to get rid of white spots on teeth 2

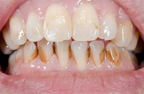
Having white spots on your teeth can put quite a damper on your smile. The condition of having white spots on your teeth is scientifically known as hypocalcification and it is quite common than most ...

how to get rid of white spots on teeth 3

The development of white spots on the teeth—clinically called "decalcification"—can be distressing. These deposits are common, arising due to plaque and tartar build-up, insufficient enamel, and ...

how to get rid of white spots on teeth 4

Here the get method finds a key entry for 'e' and finds its value which is 1. We add this to the other 1 in characters.get (character, 0) + 1 and get 2 as result. When we apply this in the characters [character] = characters.get (character, 0) + 1 equation: ... It should be clear that the last equation assigns a new value 2 to the already ...

how to get rid of white spots on teeth 5

As you have found, get just gets the value corresponding to a given key. sorted will iterate through the iterable it's passed. In this case that iterable is a dict, and iterating through a dict just iterates through its keys. If you want to sort based on the values instead, you need to transform the keys to their corresponding values, and of course the obvious way to do this is with get. To ...

how to get rid of white spots on teeth 6

Summary: The get keyword will bind an object property to a function. When this property is looked up now the getter function is called. The return value of the getter function then determines which property is returned. Example: