How To Reverse Gum Recession

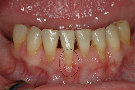
It is not possible to reverse receding gums at home, but people can take steps to stop it from getting worse. Some ways to prevent gum recession include maintaining good oral hygiene, avoiding ...

Philadelphia Mag: Philly’s Top Dentists on the Sneaky Signs of Gum Recession

One of the most common concerns patients bring to the dental chair is receding gums. Often, the immediate assumption is: "I must have gum disease." While this can be true, gum recession isn't always a ...

One of the most common concerns patients bring to the dental chair is receding gums. Often, the immediate assumption is: “I must have gum disease.” While this can be true, gum recessionisn’t always a ...

how to reverse gum recession 4

One of the most common concerns patients bring to the dental chair is receding gums. Often, the immediate assumption is: “I must have gum disease.” While this can be true, gum recession isn’t always a ...

how to reverse gum recession 5

MSN: Do You Need Gum Graft Surgery? Everything You Need to Know

Gum graft surgery, also known as gingival grafting, is a surgical procedure that removes gum tissue from one area and places it in another. It’s often used to cover exposed tooth roots or correct gum ...

how to reverse gum recession 7

Medical Xpress: From vigorous brushing to clear aligners, here's what might be causing your gums to recede

From vigorous brushing to clear aligners, here's what might be causing your gums to recede

how to reverse gum recession 9

Business Insider: What you should know before getting a gum graft for receding gums and tooth sensitivity

how to reverse gum recession 10